Enlaces para accesibilidad

La OMS en alerta por 19 hongos resistentes a medicamentos


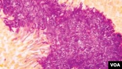
Las investigaciones microbiológicas han permitido a los científicos determinar los rangos de proliferación de los hongos y las enfermedades que causan, la resistencia a medicamentos causa preocupación por lo que la OMS ha focalizado atención en grupos. (Foto ilustrativa AP)
Las investigaciones microbiológicas han permitido a los científicos determinar los rangos de proliferación de los hongos y las enfermedades que causan, la resistencia a medicamentos causa preocupación por lo que la OMS ha focalizado atención en grupos. (Foto ilustrativa AP)

La OMS agrupó en tres categorías a 19 hongos que han desarrollado resistencia a los medicamentos de primera línea. Algunos de alta letalidad tienden a proliferar dentro y fuera de hospitales, en su mayoría en personas con bajas defensas.

La Organización Mundial de la Salud (OMS) se ha puesto en alerta por 19 clases de hongos que proliferan rápidamente y han generado resistencia a los medicamentos.

Las enfermedades que producen estos hongos van desde infecciones generalizadas, en algunos casos focalizadas en el tracto respiratorio, la piel, oídos y órganos genitales. Los entornos de transmisión pueden ser varios.

La subdirectora general de la OMS para Resistencia a los Antimicrobianos (AMR), Hanan Balkhy, dijo que “surgidas en la sombra de la pandemia de resistencia bacteriana a los antimicrobianos, las infecciones fúngicas van en aumento y son más resistentes que nunca a los tratamientos, lo que las convierte en un problema mundial de salud pública”.

La lista de patógenos fúngicos prioritarios (FPPL) que contempla a estos 19 agentes es la primera que elabora la OMS, dados los riesgos presentes, especialmente para personas con sistemas inmunodeprimidos.

La OMS ha advertido que actualmente solo se dispone de cuatro clases de medicamentos antimicóticos y no hay nuevos proyectos de desarrollo de fármacos para contrarrestarlos.

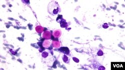
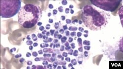
¿Cómo se ven algunos estos hongos bajo el microscopio y qué enfermedades puede producir cada uno?

Grupo de prioridad crítica para la OMS

1 - Cryptococcus neoformans

La Criptococosis es una infección pulmonar generalizada adquirida a través de la inhalación de tierra contaminada con las levaduras de este hongo. Los síntomas son asociados a una neumonía, meningitis, afectación de los huesos o el aparato digestivo. También pueden observarse alteraciones en la piel. La resistencia generada en algunos pacientes a los tratamientos convencionales con azoles o anfotericina B preocupa a los expertos. [Fuente: Clínica Mayo / Ilustración CDC]
La Criptococosis es una infección pulmonar generalizada adquirida a través de la inhalación de tierra contaminada con las levaduras de este hongo. Los síntomas son asociados a una neumonía, meningitis, afectación de los huesos o el aparato digestivo. También pueden observarse alteraciones en la piel. La resistencia generada en algunos pacientes a los tratamientos convencionales con azoles o anfotericina B preocupa a los expertos. [Fuente: Clínica Mayo / Ilustración CDC]

2- Candida auris

Causa enfermedades graves, generalmente en pacientes hospitalizados que ya están complicados por otros cuadros clínicos, cuyas infecciones se vuelven difíciles de tratar, el Centro para Prevención de Enfermedades Infecciosas de Estados Unidos (CDC) considera que la presencia de este patógeno se asocia a infecciones en el torrente sanguíneo, infección de una herida, de oídos, de donde proviene el nombre auris. (lustración cortesía CDC)
Causa enfermedades graves, generalmente en pacientes hospitalizados que ya están complicados por otros cuadros clínicos, cuyas infecciones se vuelven difíciles de tratar, el Centro para Prevención de Enfermedades Infecciosas de Estados Unidos (CDC) considera que la presencia de este patógeno se asocia a infecciones en el torrente sanguíneo, infección de una herida, de oídos, de donde proviene el nombre auris. (lustración cortesía CDC)

3- Aspergillus fumigatus

Esta espora habita en ambientes exteriores e interiores y causa la aspergilosis que puede producir reacciones alérgicas generalizadas, infecciones pulmonares y de otros órganos; en la mayoría de casos se presenta en personas con sistemas inmunológicos comprometidos, ya que la mayor parte de población respira estas esporas sin tener consecuencias en la salud, según el CDC. (Ilustración cortesía Science Photo Library)
Esta espora habita en ambientes exteriores e interiores y causa la aspergilosis que puede producir reacciones alérgicas generalizadas, infecciones pulmonares y de otros órganos; en la mayoría de casos se presenta en personas con sistemas inmunológicos comprometidos, ya que la mayor parte de población respira estas esporas sin tener consecuencias en la salud, según el CDC. (Ilustración cortesía Science Photo Library)

4- Candida albicans

Este hongo se asocia a la mayoría de infecciones por hongos vaginales, ya que la vagina contiene una mezcla equilibrada de hongos entre estos la cándida; sin embargo, en algunas ocasiones esta puede penetrar en capas celulares más profundas y provoca los síntomas. “Las infecciones provocadas por otros hongos de este tipo pueden ser más difíciles de tratar y generalmente requieren tratamiento más agresivo”, según la Clínica Mayo.
Este hongo se asocia a la mayoría de infecciones por hongos vaginales, ya que la vagina contiene una mezcla equilibrada de hongos entre estos la cándida; sin embargo, en algunas ocasiones esta puede penetrar en capas celulares más profundas y provoca los síntomas. “Las infecciones provocadas por otros hongos de este tipo pueden ser más difíciles de tratar y generalmente requieren tratamiento más agresivo”, según la Clínica Mayo.

Grupo de alta prioridad

5- Nakaseomyces glabrata (Candida glabrata)

Es responsable junto a otras variantes de la candi-diasis. En 1978 se le agrupó en el género de las candidas. Las infecciones según estudios de la Facultad de Medicina de la Universidad de Chile dependen de la zona que afecte, tiene mayor presencia en infecciones de las vías urinarias. “La frecuencia de infecciones superficiales y profundas por este agente ha aumentado y es el segundo de su grupo en producir candi-diasis”. (Ilustración Science Photo Library)
Es responsable junto a otras variantes de la candi-diasis. En 1978 se le agrupó en el género de las candidas. Las infecciones según estudios de la Facultad de Medicina de la Universidad de Chile dependen de la zona que afecte, tiene mayor presencia en infecciones de las vías urinarias. “La frecuencia de infecciones superficiales y profundas por este agente ha aumentado y es el segundo de su grupo en producir candi-diasis”. (Ilustración Science Photo Library)

6- Histoplasma spp

Produce la histoplasmosis, enfermedad respiratoria parecida a la gripe que combina otros síntomas como decaimiento. Clínica Mayo explica que se desarrolla al respirar esporas de este hongo que suelen encontrarse en excrementos de pájaros y murciélagos. Los entornos de riesgo son espacios cerrados donde se haya acumulado el germen y puede esparcirse durante proyectos de limpieza o demolición. Está presente en regiones de EEUU, centro y Sudamérica, África, Asia y Australia. (Ilustración CDC)
Produce la histoplasmosis, enfermedad respiratoria parecida a la gripe que combina otros síntomas como decaimiento. Clínica Mayo explica que se desarrolla al respirar esporas de este hongo que suelen encontrarse en excrementos de pájaros y murciélagos. Los entornos de riesgo son espacios cerrados donde se haya acumulado el germen y puede esparcirse durante proyectos de limpieza o demolición. Está presente en regiones de EEUU, centro y Sudamérica, África, Asia y Australia. (Ilustración CDC)

7- Histoplasma causative agents

Los CDC clasifica este patógeno causante de la histoplamosis causada por las esporas del hongo capsulatum que “prospera en suelos húmedos ricos en materia orgánica en especial cargados de excrementos de pájaros y murciélagos”. Si bien el paciente puede recuperarse de la fiebre, tos y decaimiento por sí mismo, en algunos casos la infección se puede prolongar a un cuadro severo. (Ilustración cortesía CDC/Dr. Libero Ajello)
Los CDC clasifica este patógeno causante de la histoplamosis causada por las esporas del hongo capsulatum que “prospera en suelos húmedos ricos en materia orgánica en especial cargados de excrementos de pájaros y murciélagos”. Si bien el paciente puede recuperarse de la fiebre, tos y decaimiento por sí mismo, en algunos casos la infección se puede prolongar a un cuadro severo. (Ilustración cortesía CDC/Dr. Libero Ajello)

8- Mucorales

La mucormicosis la define Medline Plus como infección micótica en los senos paranasales y que se puede extender al cerebro y los pulmones, tiene mayor presencia en personas con sistemas inmunológicos comprometidos. Este hongo suele encontrarse en materia orgánica en descomposición como frutas, pan, vegetales al igual que en la tierra y el abono. “La infección rinocerebral puede empezar como una infección sinusal y luego provocar inflamación de los nervios que provienen del cerebro”. (Ilustración CDC /Dr. Lucille K. Georg)
La mucormicosis la define Medline Plus como infección micótica en los senos paranasales y que se puede extender al cerebro y los pulmones, tiene mayor presencia en personas con sistemas inmunológicos comprometidos. Este hongo suele encontrarse en materia orgánica en descomposición como frutas, pan, vegetales al igual que en la tierra y el abono. “La infección rinocerebral puede empezar como una infección sinusal y luego provocar inflamación de los nervios que provienen del cerebro”. (Ilustración CDC /Dr. Lucille K. Georg)

​ ​9- Fusarium spp

Causante de múltiples afecciones tanto en ojos, uñas, piel, órganos del aparato digestivo, huesos y en áreas de aplicación de catéteres en pacientes dentro de hospitales. El Centro Nacional de Microbiología Instituto de Salud Carlos III, en Madrid, España, considera que la “diseminación está condicionada por el estado inmunológico del huésped, aunque también se han barajado otros factores de virulencia, como la producción de toxinas y enzimas”; han descubierto que se adhiere al plástico de tubos hospitalarios y lentes de contacto. (Ilustración cortesía CDC)
Causante de múltiples afecciones tanto en ojos, uñas, piel, órganos del aparato digestivo, huesos y en áreas de aplicación de catéteres en pacientes dentro de hospitales. El Centro Nacional de Microbiología Instituto de Salud Carlos III, en Madrid, España, considera que la “diseminación está condicionada por el estado inmunológico del huésped, aunque también se han barajado otros factores de virulencia, como la producción de toxinas y enzimas”; han descubierto que se adhiere al plástico de tubos hospitalarios y lentes de contacto. (Ilustración cortesía CDC)

10- Candida tropicales

Se le atribuye las afecciones generalizadas por “candidas invasoras” en pacientes de edad avanzada y con problemas de neoplasias hematológicas que pueden presentar linfomas, leucemia mieloblástica y mieloma múltiple. Un estudio de la Universidad Case Wester Reserva, en Ohio, ha descubierto también otras afectaciones de este hongo invasor.
Se le atribuye las afecciones generalizadas por “candidas invasoras” en pacientes de edad avanzada y con problemas de neoplasias hematológicas que pueden presentar linfomas, leucemia mieloblástica y mieloma múltiple. Un estudio de la Universidad Case Wester Reserva, en Ohio, ha descubierto también otras afectaciones de este hongo invasor.

11- Candida parapsilosis

La parafilosis suele presentar cuadros de erupciones dolorosas, que pueden aparecer en lo ojos, la boca, la vagina o las uñas. El Departamento de Microbiología de la Facultad de Medicina de la Universidad Autónoma de Nuevo León, en México, le adjudica irritación en membranas internas del organismo y del sistema digestivo. Es notable su presencia en manos de personal sanitario en hospitales. (Ilustración cortesía Researchgate)
La parafilosis suele presentar cuadros de erupciones dolorosas, que pueden aparecer en lo ojos, la boca, la vagina o las uñas. El Departamento de Microbiología de la Facultad de Medicina de la Universidad Autónoma de Nuevo León, en México, le adjudica irritación en membranas internas del organismo y del sistema digestivo. Es notable su presencia en manos de personal sanitario en hospitales. (Ilustración cortesía Researchgate)

Mediana prioridad

12- Scedosporium spp13- Cryptococcus gattii

Produce criptococosis, Medline Plus la define como una afección pulmonar, cuyos síntomas son: dolor de cabeza, tos y confusión; pueden presentarse erupciones en la piel, “si se inhala, infecta los pulmones. La infección puede desaparecer por sí sola, permanecer sólo en los pulmones o propagarse por todo el cuerpo”, afecta especialmente a personas inmunodeficientes. Se encuentra en la tierra y está disperso en regiones el oeste de Estados Unidos, Canadá, África, y Australia y otras regiones del mundo.
Produce criptococosis, Medline Plus la define como una afección pulmonar, cuyos síntomas son: dolor de cabeza, tos y confusión; pueden presentarse erupciones en la piel, “si se inhala, infecta los pulmones. La infección puede desaparecer por sí sola, permanecer sólo en los pulmones o propagarse por todo el cuerpo”, afecta especialmente a personas inmunodeficientes. Se encuentra en la tierra y está disperso en regiones el oeste de Estados Unidos, Canadá, África, y Australia y otras regiones del mundo.

14- Lomentospora prolificans

A este hongo se le adjudica cuadros de infección grave en pacientes con otras enfermedades subyacentes como fibrosis quística o con un sistema inmunológico debilitado, en algunos casos en personas bajo tratamiento de quimioterapia o con trasplantes. La Revista Iberoamericana de Micología apuntó en un estudio que “la alta mortalidad de esta micosis obliga a realizar en muchos casos un tratamiento empírico precoz”, y probar tanto con tratamientos convencionales como de nueva generación. (Ilustración cortesía Universidad de Delaine, Australia)
A este hongo se le adjudica cuadros de infección grave en pacientes con otras enfermedades subyacentes como fibrosis quística o con un sistema inmunológico debilitado, en algunos casos en personas bajo tratamiento de quimioterapia o con trasplantes. La Revista Iberoamericana de Micología apuntó en un estudio que “la alta mortalidad de esta micosis obliga a realizar en muchos casos un tratamiento empírico precoz”, y probar tanto con tratamientos convencionales como de nueva generación. (Ilustración cortesía Universidad de Delaine, Australia)

15- Talaromyces marneffei

Este hongo está presente y afecta principalmente a poblaciones de sudeste asiático, el sur de China y el oriente de India. Los síntomas principales son: fiebre, anemia, pérdida de peso y lesiones en la piel. Tiene mayor impacto en personas inmunodeficientes, sin tratamiento oportuno puede ser mortal. (Ilustración cortesía CDC)
Este hongo está presente y afecta principalmente a poblaciones de sudeste asiático, el sur de China y el oriente de India. Los síntomas principales son: fiebre, anemia, pérdida de peso y lesiones en la piel. Tiene mayor impacto en personas inmunodeficientes, sin tratamiento oportuno puede ser mortal. (Ilustración cortesía CDC)

¡Conéctate con la Voz de América! Suscríbete a nuestro canal de YouTube y activa las notificaciones, o síguenos en las redes sociales: Facebook, Twitter e Instagram.

  • 16x9 Image

    Tomás Guevara

    Tomás H. Guevara, periodista multimedia y productor de documentales sobre temas latinoamericanos relacionados con inmigración, asuntos culturales, sociales y políticos. Es licenciado en periodismo y tiene un máster en Comunicaciones y Arte.

XS
SM
MD
LG