Enlaces para accesibilidad

¿Qué es la viruela del mono, cómo se contagia y cómo prevenirla?


Una imagen de un paciente durante una investigación sobre un brote de viruela del simio en la República Democrática del Congo, de 1996 a 1997, en esta imagen sin fecha obtenida por Reuters, el 18 de mayo de 2022. CDC/Brian W.J. Mahy vía REUTERS
Una imagen de un paciente durante una investigación sobre un brote de viruela del simio en la República Democrática del Congo, de 1996 a 1997, en esta imagen sin fecha obtenida por Reuters, el 18 de mayo de 2022. CDC/Brian W.J. Mahy vía REUTERS

Por primera vez, la enfermedad parece estar propagándose entre personas que no viajaron a África.

En los últimos días las autoridades de Salud en varios países de Europa han identificado una serie de casos de viruela del mono, y el jueves se reportó el primer caso en Estados Unidos.

En Europa se han reportado infecciones en Reino Unido, Italia, Portugal, España y Suecia.

Por primera vez, la enfermedad parece estar propagándose entre personas que no viajaron a África. La mayoría de los infectados son hombres jóvenes, reportó The Associated Press.

¿Qué es la viruela del mono?

La viruela del mono es una rara enfermedad zoonótica producida por un virus endémico de África central y occidental que se origina en animales salvajes, como roedores y primates y ocasionalmente salta a los humanos.

La enfermedad fue identificada por primera vez por científicos en 1958 cuando hubo dos brotes de una enfermedad "similar a la viruela" en monos de investigación —de ahí el nombre de "viruela del mono".

La primera infección humana conocida fue en 1970, en un niño de 9 años en una parte remota del Congo en cuyo hogar a veces comían mono. La investigación demostró que el niño era el único de la familia que no había sido vacunado contra la viruela humana, según The Conversation.

La viruela del mono pertenece a la misma familia de virus que la viruela pero causa síntomas más leves.

Una imagen de un paciente durante una investigación sobre un brote de viruela del simio en la República Democrática del Congo, de 1996 a 1997, en esta imagen sin fecha obtenida por Reuters, el 18 de mayo de 2022. CDC/Brian W.J. Mahy vía REUTERS
Una imagen de un paciente durante una investigación sobre un brote de viruela del simio en la República Democrática del Congo, de 1996 a 1997, en esta imagen sin fecha obtenida por Reuters, el 18 de mayo de 2022. CDC/Brian W.J. Mahy vía REUTERS

La mayoría de los pacientes solo experimentan fiebre, dolores corporales, escalofríos y fatiga. Las personas con enfermedades más graves pueden desarrollar sarpullido y lesiones en la cara y las manos que pueden extenderse a otras partes del cuerpo.

El período de incubación es aproximadamente de entre cinco días a tres semanas.

La mayoría de las personas se recuperan aproximadamente entre dos y cuatro semanas sin necesidad de hospitalización, pero la viruela del mono puede ser mortal en uno de cada 10 casos, y se cree que es más grave en los niños.

¿Qué tratamientos existen contra la viruela del mono?

En este momento, no hay tratamientos específicos disponibles para la infección por viruela del simio, según los Centros para el Control y la Prevención de Enfermedades de Estados Unidos (CDC), pero asegura que los brotes pueden controlarse.

Las personas expuestas al virus a menudo reciben una de varias vacunas contra la viruela que han demostrado ser efectivas contra la viruela del mono.

La vacuna contra la viruela, el cidofovir, el ST-246 y la inmunoglobulina vaccinia (VIG) se pueden usar para controlar un brote de viruela del simio, explican los CDC.

La vacuna JYNNEOSTM —también conocida como Imvamune o Imvanex— ha sido autorizada en EEUU para prevenir la viruela del simio y la viruela, explican los CDC.

FOTO DE ARCHIVO: Una imagen microscópica electrónica (EM) muestra partículas maduras del virus de la viruela del simio de forma ovalada, obtenidas de una muestra clínica de piel humana asociada con el brote de perros de las praderas de 2003 obtenida por Reuters el 18 de mayo de 2022. Cynthia S. Goldsmith, Russell Regnery/CDC/Foto de archivo
FOTO DE ARCHIVO: Una imagen microscópica electrónica (EM) muestra partículas maduras del virus de la viruela del simio de forma ovalada, obtenidas de una muestra clínica de piel humana asociada con el brote de perros de las praderas de 2003 obtenida por Reuters el 18 de mayo de 2022. Cynthia S. Goldsmith, Russell Regnery/CDC/Foto de archivo

"Debido a que el virus de la viruela del simio está estrechamente relacionado con el virus que causa la viruela, la vacuna contra la viruela también puede proteger a las personas contra la viruela del simio", dicen los CDC. "Datos de África sugieren que la vacuna contra la viruela es al menos un 85% efectiva para prevenir la viruela del simio".

Los expertos también creen que la vacunación después de una exposición a la viruela del simio puede ayudar a prevenir la enfermedad o hacerla menos grave, según los CDC.

La vacuna contra la viruela no está actualmente disponible para el público en general, advierten los CDC, y agregan que en caso de otro brote de viruela del simio en EEUU, establecerán "pautas que expliquen quién debe vacunarse".

El jueves, el Centro Europeo para la Prevención y el Control de Enfermedades recomendó aislar a todos los casos sospechosos y ofrecer la vacuna contra la viruela a los contactos de alto riesgo.

¿Cómo se propaga la viruela del mono?

La viruela del mono puede transmitirse a través del contacto cercano con personas infectadas, sus fluidos corporales y su ropa o sábanas.

No se ha documentado se haya propagado a través de las relaciones sexuales.

En casos de infecciones esta semana en Reino Unido, las autoridades de Salud dijeron que todos los casos fueron hombres que se identifican como homosexuales, bisexuales o hombres que tienen sexo con hombres, reportó AP.

La Dra. Susan Hopkins, asesora médica jefe de la Agencia de Seguridad de la Salud del Reino Unido, dijo a la AP: “instamos particularmente a los hombres que son homosexuales y bisexuales a que estén al tanto de cualquier erupción o lesión inusual y que se comuniquen con un servicio de salud sexual sin demora”.

Michael Skinner, virólogo del Imperial College London, dijo a la AP que aún es demasiado pronto para determinar cómo se infectaron los hombres en Reino Unido.

“Por naturaleza, la actividad sexual implica un contacto íntimo, que uno esperaría aumentar la probabilidad de transmisión, independientemente de la orientación sexual de una persona y del modo de transmisión”, dijo Skinner.

Francois Balloux, del University College London, dijo a AP que el sexo califica como el tipo de contacto cercano necesario para transmitir la enfermedad. Los casos del Reino Unido "no implican necesariamente ningún cambio reciente en la ruta de transmisión del virus", dijo Balloux.

Los expertos valoran otras explicaciones para la transmisión de la viruela del mono, entre ellas el fin de la inmunización contra la viruela desde 1980, lo cual puede haber resultado en disminución de la inmunidad contra los ortopoxvirus, según The Conversation.

Otra teoría es la exposición a animales que son portadores naturales de la enfermedad, como ardillas, ratones, monos o perros de padrera (prairie dogs).

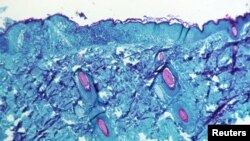
Una sección de tejido de la piel, extraída de una lesión en la piel de un mono que había sido infectado con el virus de la viruela del mono, se ve con un aumento de 50X en el cuarto día del desarrollo de la erupción en 1968. CDC/via REUTERS.
Una sección de tejido de la piel, extraída de una lesión en la piel de un mono que había sido infectado con el virus de la viruela del mono, se ve con un aumento de 50X en el cuarto día del desarrollo de la erupción en 1968. CDC/via REUTERS.

La enfermedad ha resurgido en el continente africano, donde se han diagnosticado más casos de viruela del mono en los últimos ocho años que en los 40 años anteriores, según expertos, reportó The Conversation.

La Organización Mundial de la Salud estima que hay miles de infecciones de viruela del mono en varios países africanos cada año, la mayoría están en el Congo, que reporta alrededor de 6000 casos al año, y Nigeria, con alrededor de 3000 casos al año, país al que viajó uno de los infectados en Reino Unido.

Ocasionalmente se detectan casos aislados de viruela del simio fuera de África, pero los casos suelen estar asociados con viajes al continente o contacto con animales de áreas donde la enfermedad es más común.

En 2003, se infectaron con el virus unas 47 personas en seis estados de EEUU, que contrajeron el virus de perros de las praderas que se alojaron cerca de pequeños mamíferos importados de Ghana y se vendieron como mascotas.

Con información de Associated Press

¡Conéctate con la Voz de América! Suscríbete a nuestro canal de YouTube y activa las notificaciones, o bien, síguenos en las redes sociales: Facebook, Twitter e Instagram.

XS
SM
MD
LG