Enlaces para accesibilidad

Posible avance en lucha contra cáncer de mama


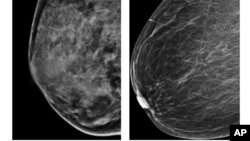
Esta radiografía del American College of Radiology muestra un pecho extremamente denso (izquierda) y otro menos denso. Un estudio ha descubierto cuatro tipos de cáncer de mama por lo que los tratamientos deben ser diferentes.
Esta radiografía del American College of Radiology muestra un pecho extremamente denso (izquierda) y otro menos denso. Un estudio ha descubierto cuatro tipos de cáncer de mama por lo que los tratamientos deben ser diferentes.

El estudio ha identificado cuatro tipos de cáncer de pecho importantes, uno de los cuales tiene moléculas similares al cáncer de ovario.

Un nuevo estudio en Estados Unidos está dando esperanza a los médicos de que un día pueda encontrarse una cura para el cáncer de mama, la principal causa de muerte entre las mujeres.

El estudio publicado en la revista electrónica Nature, analiza la genética del cáncer de mama y encuentra que hay cuatro tipos de cáncer de pecho importantes, uno de los cuales tiene moléculas similares al cáncer de ovario.

Idealmente, cada tipo de cáncer debería tener su propio tratamiento para que éste sea más efectivo.

Los médicos ahora intentarán tratar el cáncer de mama con las mismas medicinas que se han usado con éxito para tratar el cáncer de ovario.

La Organización Mundial de la Salud, dice que el cáncer de mama causa la muerte a unas 450 mil personas cada año.
XS
SM
MD
LG